Cover Story Feature Stories Restorative Direct Restorative Indirect Materials Failure to Adhere November 18, 2024 18 min read
Continuing Education CE Articles Prosthodontics Key Factors to Denture Success By Charles J. Goodacre, DDS, Joseph J. Massad, DDS, Russell A. Wicks, DDS, Swati A. Ahuja, BDS January 01, 2018
Endodontics Endodontics Pain Management Diagnosis and Treatment Planning Antibiotic Stewardship in the Management of Endodontic Infections By Brooke Blicher, DMD, Jarshen Lin, BDS, DDS, Rebekah Lucier, DMD January 01, 2018 10 min read
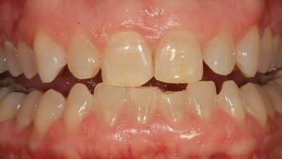
Restorative Restorative Direct Bleaching Tetracycline- Stained Teeth By Rhoda J. Sword, DMD, Van B. Haywood, DMD January 01, 2018 18 min read
Big Picture Practice Management 365 Ways to Make Your Practice’s Social Media Fun and Effective By Naomi Cooper January 01, 2018 9 min read
Daily Practice Practice Management STP and the Four Ps of Marketing in Dentistry By Eric Rindler, DDSDDS January 01, 2018 7 min read
Roundtable Pediatric Dentistry Prevention Roundtable What Are the Indications and Contraindications for Use of SDF in Anterior Teeth? By Jeanette K. MacLean, DDS, Theodore P. Croll, DDS, Travis M. Nelson, DDS January 01, 2018 7 min read
Clinical Briefs Restorative Direct Case Studies Polishing Interproximal Restorations with Limited Space By Nancy B. Young, DMD January 01, 2018 6 min read