Cover Story Feature Stories Implantology Digital Imaging Down to a Science By Sefira Fialkoff November 18, 2024 11 min read
Continuing Education CE Articles Implantology Diagnosis and Treatment Planning Centering Implants With the Gingival Zenith in the Anterior Region By Edgard El Chaar, DDS, Gretchen Stern, DDS June 01, 2020
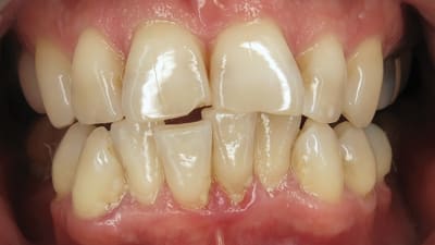
Restorative Restorative Indirect Implantology A Multidisciplinary Approach to Rehabilitate Function and Esthetics By Hanno Venter, BDS June 01, 2020 10 min read
Implants Implantology Prosthodontics Full-Arch, Implant-Supported Monolithic Zirconia Prosthetic Treatment By Gregori M. Kurtzman, DDS, Niloufar Rezakhani, DMD June 01, 2020 15 min read
Strategy Practice Management Conquering Barriers to Treatment Acceptance in Complex Cases By Thomas Bilski, DDS June 01, 2020 6 min read
Focus On Implantology Implant Selection and the Use of Surgical Guides By Dean E. Kois, DMD June 01, 2020 5 min read
Perspective Implantology Materials Zirconia Dental Implants By Paul S. Petrungaro, DDS June 01, 2020 4 min read
Product Talk One-Bottle Success for All of Your Clinical Needs By Adamo Notarantonio, DDS June 01, 2020 4 min read