Applications of Injection Molding in Dentistry
Delivering transitional and definitive solutions with precision and predictability
In modern esthetic and restorative dentistry, clinicians are seeking techniques that offer not only visual excellence but also predictability, efficiency, and patient-centered flexibility. Injection molding—a method adapted from industrial processes—has emerged as a remarkably effective technique for fabricating transitional restorations, or even definitive restorations, that accurately reflect the final planned outcome. The technique facilitates the precise transfer of a diagnostic wax-up or digital mock-up into the mouth using high-viscosity injectable composites delivered through a clear, rigid matrix. This results in monolithic, polished restorations with ideal form, function, and contour that are produced with minimal chair time and without irreversible preparation. Injection molding is uniquely positioned to serve both simple and complex restorative needs. It facilitates interdisciplinary communication, provides a tangible diagnostic preview, and enables patients to accept and phase comprehensive treatment based on financial feasibility. The following two case reports illustrate the versatility of injection mounding—one as a functional step in a full-mouth rehabilitative journey and the other as a conservative esthetic solution for a young post-orthodontic patient.1-4
Case Report 1: Transitional Restorations as a Precursor to Orthodontic- Orthognathic Therapy
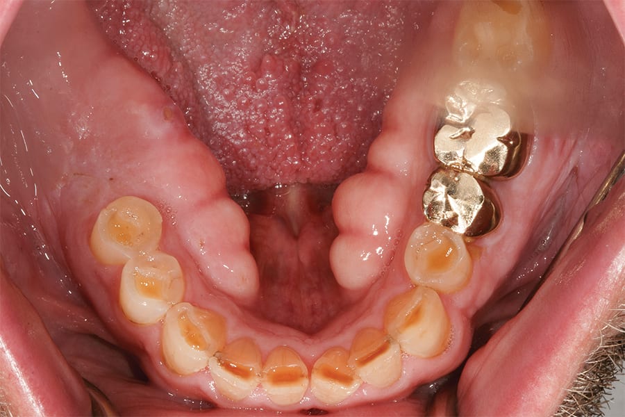
A middle-aged male patient presented with a severely worn dentition and multiple treatment plans from other providers. Most of the plans proposed full-coverage crowns and an increase in the vertical dimension of occlusion; however, this was often without orthodontic intervention (Figure 1 through Figure 4). The patient wanted another opinion, and he emphasized the need to phase treatment over several years due to financial concerns. A comprehensive evaluation was performed, which revealed not only dental wear but also a skeletal and dental Class III relationship, airway limitations, and significant occlusal dysfunction (Figure 5 through Figure 13).
A multidisciplinary approach was recommended that would involve orthodontic therapy, followed by orthognathic surgery and, ultimately, full restorative rehabilitation. However, the patient’s severely worn dentition posed a challenge for orthodontic care. The small size of his teeth would make bracket bonding and hygiene maintenance extremely difficult, and it would be nearly impossible for the orthodontist to appreciate the original inclination and ideal final positioning of the teeth. To address these issues and allow orthodontic treatment to begin, the decision was made to proceed with full-arch direct composite restorations using the injection molding technique. This would cover the exposed dentin, restore ideal contours, and serve as a visual and functional guide for the next phase of treatment.
The laboratory was instructed to design full-contour restorations that reflected natural tooth shapes and the patient’s current axial inclinations as opposed to a perfected esthetic design (Figure 14 and Figure 15). It was critical that the patient understood that these restorations would be transitional—not final esthetic results, but rather a means to communicate the correct tooth dimensions and orientations to the orthodontist.
Because the patient’s current occlusion did not allow sufficient space for the intended length of the teeth, an anterior deprogrammer was built into the wax-up and incorporated into the injection-molded composite to guide proper orthopedic jaw positioning. From the wax-up, two maxillary models were printed: one with the full arch of teeth (Figure 16) and one with every other tooth removed to facilitate staggered injection. From these models, two hard maxillary matrices (Essix®, Dentsply Sirona) were fabricated to ensure shape retention and limit distortion. To complete the matrices, injection ports were created using a 330 bur, and the intaglio surfaces were steamed to eliminate any debris. (Figure 17).
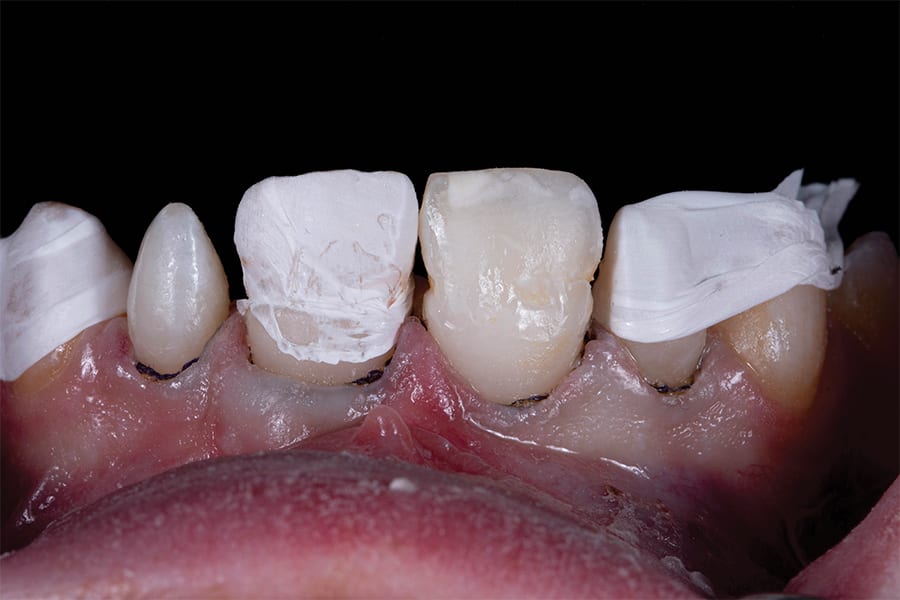
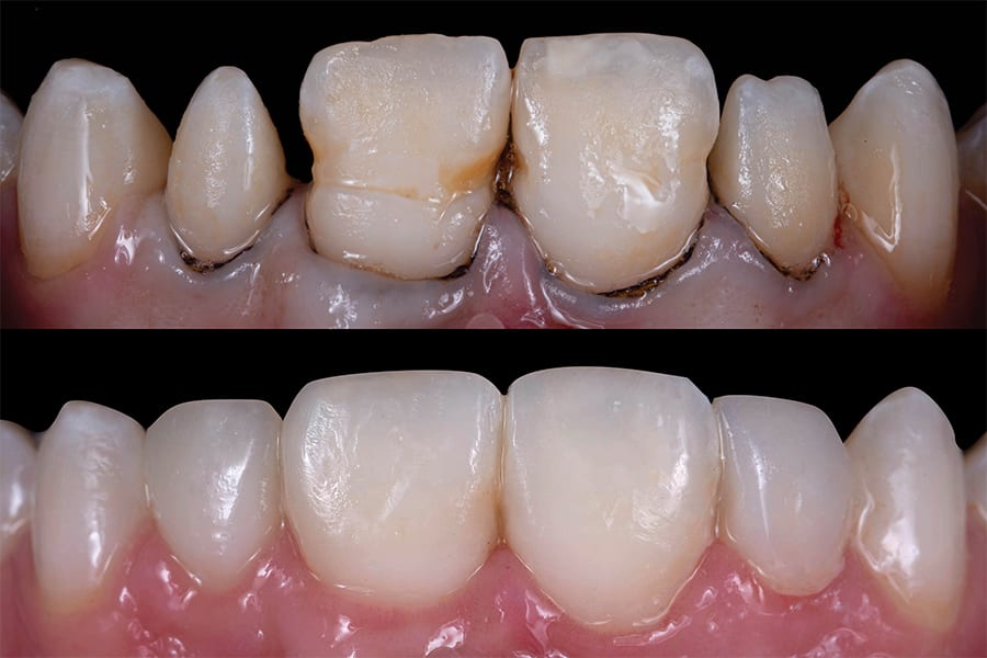
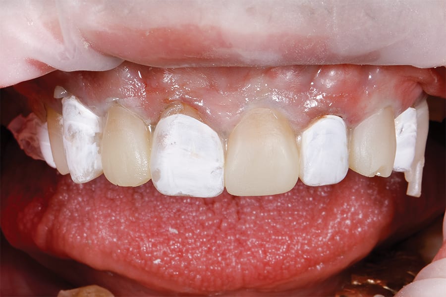
At the clinical appointment, the teeth were isolated using a lip and cheek retractor (OptraGate®, Ivoclar). Polytetrafluoroethylene (PTFE) tape was placed to block out the alternating maxillary teeth that would not be restored in the initial phase with the every-other-tooth matrix. For the teeth to be restored first, the exposed enamel was etched with a 37% phosphoric acid etchant (ETCH-37™ w/BAC BISCO) (Figure 18), after which a universal adhesive (All-Bond Universal®, BISCO) was applied in two coats, air thinned, and light cured (Bluephase® G4, Ivoclar). The every-other-tooth matrix was then seated. Next, an injectable composite (G-ænial™ Universal Injectable, GC America) was slowly injected through the ports using long dispensing tips, ensuring full seating at the cervical margins and a complete fill of each matrix void. Each tooth was restored and light cured individually (Figure 19). Once all of the initial alternating maxillary teeth were restored and the excess flash was removed (Figure 20), they were blocked out with PTFE tape, and the remaining teeth were prepared and restored in the same fashion using the maxillary full-arch matrix (Figure 21 and Figure 22). With the maxillary teeth restored, the entire staggered injection protocol used was repeated to restore the mandibular teeth.
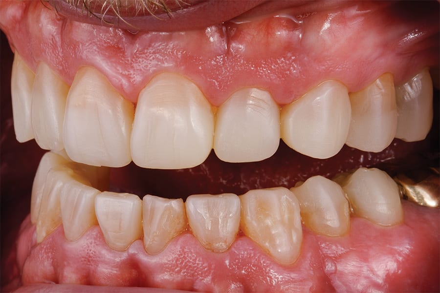
The restorations were polished using a silicone wheel, a high gloss finishing wheel, and a felt wheel (FlexiBuffs, Cosmedent) with polishing paste (Enamelize™, Cosmedent). Within a few hours, the patient left with ideal tooth size, improved function, and enhanced esthetics—all while preserving future treatment options. With a new vertical dimension and anatomical references in place, the orthodontist could now begin treatment with confidence, and the patient had a tangible preview of the final destination (Figure 23 through Figure 27).
Case Report 2: Esthetic Enhancement for a Post-Orthodontic Adolescent
A 15-year-old male patient presented after orthodontic treatment with peg-shaped lateral incisors and generalized enamel hypoplasia. He and his parents were eager to improve the esthetics of his smile but were understandably hesitant to pursue porcelain restorations due to his age and future dental development. Therefore, injection-molded composite restorations were offered as a conservative, esthetic, and transitional solution.
After a comprehensive set of clinical photographs and intraoral digital scans was obtained, a 2D digital smile design was created, reviewed with the patient, and approved (Figure 28).5 The final design was converted into a 3D wax-up, from which two maxillary models were fabricated: one complete one and one with alternating teeth removed to support the staggered injection protocol. Then, from these models, two clear silicone matrices were fabricated (Figure 29).
On the day of treatment, teeth Nos. 7 through 10 were isolated with retraction cord and air abraded with 27- µm aluminum oxide powder (Figure 30). Following the same adhesive protocol and using the same materials described in the first case, injectable composite was delivered into the matrices and light cured, tooth by tooth (Figure 31 through Figure 35). Upon completion, the restorations were polished to a high shine, which resulted in a symmetrical, lifelike enhancement of the patient’s smile (Figure 36). The final restorations preserved enamel, maintained future treatment flexibility, and gave the patient an immediate boost in confidence.
Conclusion
Injection molding offers clinicians an elegant blend of precision, efficiency, and flexibility. Its minimally invasive nature makes it an excellent option for both provisional and definitive restorations, and its reproducibility allows for consistent communication between clinicians, laboratories, and patients. Whether used as a tool to bridge interdisciplinary care, facilitate phased treatment for financial reasons, or meet esthetic demands with conservation in mind, injection molding is now a cornerstone technique in modern restorative dentistry. These two cases underscore its value across both ends of the clinical spectrum—from complex full-mouth rehabilitation to youthful smile enhancement—and demonstrate that predictable outcomes can be achieved with a thoughtful, well-executed approach.
About the Authors
Adamo E. Notarantonio, DDS
Accredited Fellow
American Academy of Cosmetic Dentistry
Private Practice
Huntington, New York
Amanda Seay, DDS
President, Accredited Fellow
American Academy of Cosmetic Dentistry
Clinical Instructor
Kois Center
Private Practice
Charleston, South Carolina
References
1. Geštakovski D. The injectable composite resin technique: minimally invasive reconstruction of esthetics and function. Clinical case report with 2-year follow-up. Quintessence Int. 2019;50(9):712-719.
2. Hulac S, Kois J. Managing the transition to a complex full mouth rehabilitation utilizing injectable composite. J Esthet Restor Dent. 2023;35(5):796-802.
3. Coachman C, De Arbeloa L, Mahn G, et al. An improved direct injection technique with flowable composites. A digital workflow case report. Oper Dent. 2020;45(3):235-242.
4. Dietschi D, Shahidi C, Krejci I. Clinical performance of direct anterior composite restorations: a systematic literature review and critical appraisal. Int J Esthet Dent. 2019;14(3):252-270.
5. Coachman C, Calamita M. Digital smile design: a tool for treatment planning and communication in esthetic dentistry. Quintessence of Dental Technology. 2012;35:103-111.