Implant treatment in the maxillary anterior to replace an over-retained deciduous tooth when absence of the permanent tooth presents can pose clinical challenges to achieve ideal esthetics. In the general population studies have shown the prevalence of maxillary canine agenesis varies between 0.07 and 0.13%.1 The incidence in the Chinese population is significantly greater, being reported at 0.69%.2
The absence of the permanent canine results in defect of the facial aspect of the ridge, complicating implant placement related to insufficient buccal-palatal width of the ridge. Although the presence of the deciduous canine may present with sufficient width at the crest, insufficient ridge width is present in the vestibule. Placement of an implant at time of extraction of the deciduous tooth would result in dehiscence of the majority of implant on the facial aspect of the ridge, thus necessitating osseous grafting to ensure the implant is encased in bone. Grafting may be performed at the time of implant placement or prior to implant placement, with both approaches having positive and negative aspects.
When the implant is placed into the site at the time of deciduous tooth extraction, typically the crestal portion of the ridge is thin following implant placement in the immediate extraction socket. This will result in insufficient bone-implant contact (BIC) to achieve adequate insertion torque to immediately load a provisional restoration. Grafting the dehisced facial aspect of the implant will encase the implant in bone, but a healing period is required for that graft to convert to host bone, thus delaying treatment. The alternative is grafting the site at the time of extraction in preparation for a later implant placement after site healing. Although this does also delay provisionalization of an implant, it does permit denser bone at the site via use of a cortical block graft versus particulate graft material. A block graft requires stabilization to the underlying ridge with fixation screws, which cannot be accomplished with an immediate implant present at the site, due to the presence of the implant and adjacent teeth. Thus, grafting at the time of implant placement to correct dehiscence is accomplished with particulate materials that do not require fixation to the underlying ridge and are not as predictable.
Studies have shown lateral augmentation procedures have higher survival rates and vertical augmentation with horizontal ranging from 96.9% to 100% and vertical ranging from 89.5% to 100%.3 Horizontal procedures produce greater dimensional gains also. Some of the proposed procedures are particulate grafting with and without membrane, block grafting whether it be autogenous or allergenic with or without simultaneous placement of implants, tenting procedures with the use of adjuncts such PRF or PRP, and the use of recombinant protein such as bone morphogenic protein which is used with a carrier such as a collagen sponge.
In this case the patient had bilaterally congenitally missing teeth for which the alveolar ridge had a horizontal deficiency. It was decided to use allergenic block grafting to rebuild the alveolar ridge sufficient to place implants. Studies have shown that there is no significant difference between the use of autogenous versus allergenic bone grafts for this procedure.4 There is no significant difference in resorption and resorption rates. The advantage of using allogeneic grafting is that there is not a second surgical donor site, therefore autogenous grafting has less patient acceptance than allogeneic grafting. The advantage of autogenous grafting is that certain populations of people may not like the idea of using cadaveric bone and certain religious groups preclude the use of donor materials.
The main shortcomings of using block grafts include dehiscence of the soft tissue, which can be minimized by proper contouring of the graft by achieving an intimate fit against the alveolus and contouring the shape of the cortical side which minimizes the thickness of the cortical bone. The more cancellus bone used the better the revascularization because of the easier penetration of the blood vessels in the graft, but at the same time cortical bone is needed so the graft can withstand mechanical stress and retention with the screw.5 There is also the option of custom-made, preformed cortical cancellous blocks that can be fabricated from a cone-beam computed tomography (CBCT) scan, but the main drawback is that they significantly increase the price of the procedure and do not offer significant benefit to an experienced operator.
Deciduous canines as well as other anterior teeth are of narrower dimensions mesial-distally than permanent teeth. This can affect the esthetics, resulting in a narrower canine being placed, necessitating orthodontics to provide a mesial-distal space that blends with the width of the adjacent permanent teeth. The average size of the maxillary canine in Asian women typically is approximately 6.5 to 7.5 mm mesial-distally.6 The width of the deciduous canine is narrower than the permanent tooth, necessitating widening the space to achieve esthetics and provide a natural smile.
A case is presented for an Asian female with bilateral over-retained maxillary deciduous canines desiring an esthetic improvement to her smile. Treatment was multi-procedural, involving orthodontics, extraction with block grafting, and later implant placement through finalization of the restoration.
Case Presentation
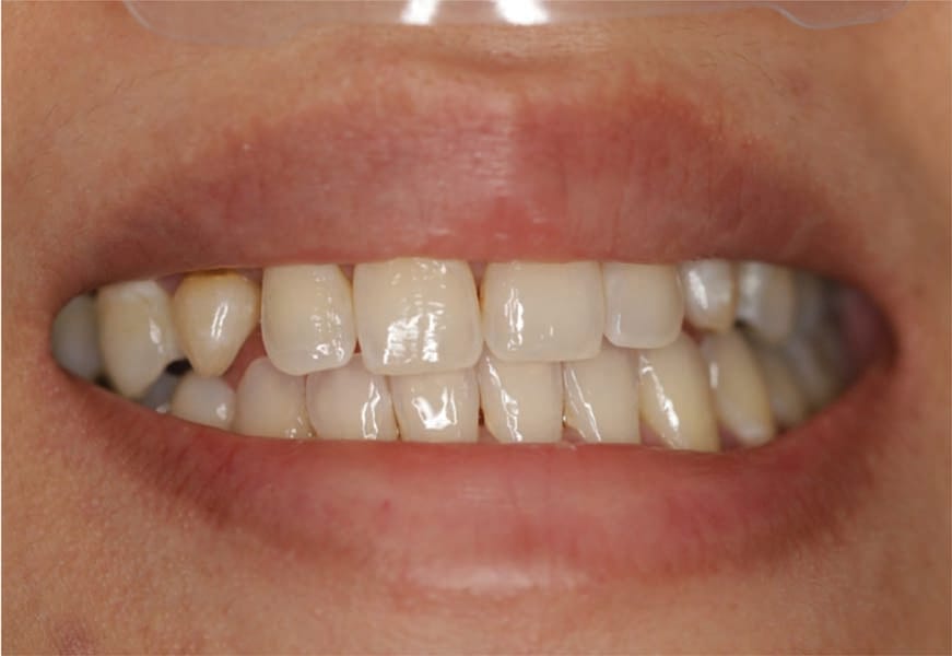
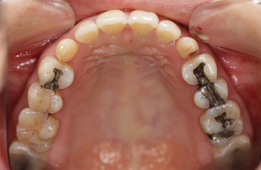
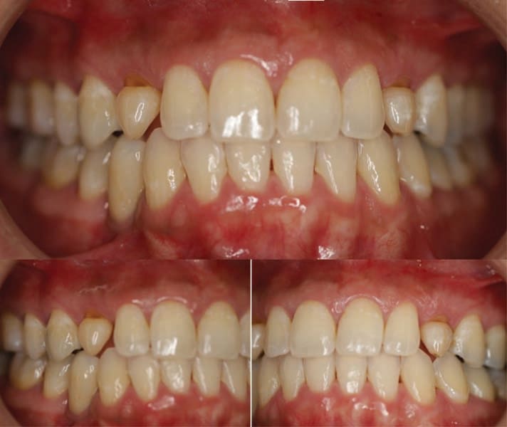
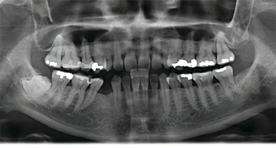
A 31-year-old Asian female presented for a consult. Her medical history was reviewed, and no health issues were noted. She indicated her last dental visit was 2 years ago and her chief complaint was that her deciduous canines felt loose and she was unhappy with her smile (Figure 1). Examination noted fair oral hygiene with light generalized calculus and moderate bleeding in the posterior with 4 mm probing on the molars. The deciduous canines were present bilaterally in the maxilla which were grade 1+ mobile (Figure 2). Cervical caries was noted on both deciduous teeth on the facial and also the distal of the left deciduous canine (Figure 3). Tooth No. 28 (right mandibular first premolar) was noted to be missing. The patient indicated the missing bicuspid never developed and the deciduous molar was lost in her teens. Physical examination noted a concavity in the vestibule apical to the gingival margin at both canine sites. A panoramic and bitewing radiographs were taken to evaluate the dentition and arches (Figure 4). Radiographically it was confirmed that the permanent maxillary canines were not present nor was the mandibular bicuspid. Further, significant resorption of the roots of the deciduous canines was noted.
Discussion was conducted with the patient on the treatment recommended to correct the problems noted and to achieve her expressed esthetic concerns to improve her smile. Recommended treatment included clear aligner orthodontics for both the maxillary and mandibular arch to create appropriate space to restore implants at the canine sites to blend with the adjacent teeth to achieve a natural smile. Additionally, restorations were recommended on the right mandibular second premolar (No. 29) and first molar (No. 30). The patient presented for a CBCT scan and a consultation with the oral surgeon, to evaluate the sites for bone block grafting. She was informed grafting was possibly indicated at the canine sites to create a site that could accommodate implant placement and encase the implants within bone. The patent indicated she was receptive to the recommended treatment. The patient was scheduled for the two recommended restorations on the two mandibular teeth and referred to the orthodontist for evaluation and treatment.
The patient presented for restoration of teeth Nos. 29 and 30. Local anesthetic was administered (4% Septocaine with 1:100,000 epi) via infiltration. Caries were removed from the two teeth with a bur in a high-speed handpiece. Matrices were placed on the teeth, and they were acid etched, then rinsed and dried. OptiBond™ Universal adhesive (Kerr Dental) was applied and light-cured. The teeth were then restored with Tetric composite (Ivoclar) in shade A1. The matrices were removed and the restorations finished and polished.
The patient was evaluated for orthodontics by Dr. Parsol and initially presented with retained primary canines of reduced mesiodistal width and a malocclusion requiring comprehensive alignment and space management. Orthodontic treatment would establish proper occlusion and create sufficient space for future implant placement of the maxillary canines. The patient accepted the recommendation for clear aligner orthodontics to correct the spacing at the canine sites for improved esthetics after treatment completion that had been recommended. The arches were scanned with the iTero Element™ 5D Plus scanner (Align Technology) and the files sent to Invisalign with instructions for aligner fabrication. Invisalign served as the preliminary phase of treatment to facilitate subsequent canine positioning and arch coordination. The aligners were delivered at a subsequent appointment and followed up with delivery of aligners at other appointments until the desired orthodontic treatment was completed.
The patient presented for implant placement with Dr. Puccio at site 28. Consent forms were reviewed and signed by the patient. Local anesthetic was administered. A surgical guide was previously designed and 3D printed using Primeprint (Dentsply Sirona). The design was accomplished by initially scanning the patient’s dentition using the Primescan AC, then transferring the scan file into Sidexis 4 software for the implant planning. The implant plan was then transferred into the Cerec inLab CAD software for the actual guide designing. The guide design then was moved into the inLab CAM for the final step of 3D printing the guide using the surgical guide resin. The osteotomy was created using a flapless guided protocol, and a 4.2-by-11-mm EV Profile implant (Astra Tech) was placed at the site. A cover screw was placed, and the patient was referred to the oral surgeon for CBCT and evaluation for block grafting the maxillary canine sites. The patient was seen for post-implant placement, and the aligner tray was modified to remove any contact with the implant sites’ soft tissue.
The oral surgeon, Dr. Defalco, saw the patient, and a CBCT was taken. Cross-sectional views at 6 and 11 noted a narrow ridge width due to a concavity at both sites related to lack of the permanent canines (Figure 5). Minimal roots were present for the deciduous canines (teeth C and I). Insufficient ridge width was present at either site to permit implant placement without site grafting to eliminate the facial ridge concavity. Block grafting of the sites at the time of extraction was recommended, and following site healing and graft conversion to the host ridges implants could be placed.
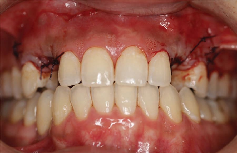
The patient presented for extraction of the deciduous canines and block grafting of the sites. Consent forms were reviewed with the patient and were signed. Local anesthetic was administered at the sites. Teeth C and I were extracted atraumatically, and a full-thickness mucoperiosteal flap was elevated at those sites (Figure 6). In this patient cortico-cancellous block grafts bilaterally were chosen (Puros® J-Block, ZimVie). The block of bone was contoured first on the cancellous alveolar side, with a football-shaped bone bur. The bone was placed in the recipient bed and was held firmly; the rest of the contouring was performed on the cortical side to allow the block to fit the site. Minimizing the thickness of the cortical bone also reduces the risk of dehiscence of the area. The cortical side was reduced significantly to allow adequate penetration of blood to allow integration and remodeling to native bone but leaving sufficient cortex to support adequate fixation. Next, using a 1.2-mm drill, the recipient site was thoroughly perforated to allow fresh bleeding and adequate penetration of the blood cells and growth factors into the graft. The graft then was firmly held against the recipient site, the 1.2-mm drill was used to place the screw hole, and a 1.2-by-10-mm screw was used to the secure the block graft into place (Figure 7). This was repeated at the left canine site (Figure 8). Particulate graft was not added so that the periosteum was in direct contact with the block to allow faster vascularization of the block graft. The periosteum underneath the flap was thoroughly scored and the flap was advanced to achieve tension-free primary closure and secured with 4-0 Vicryl sutures (Figure 9). The patient was seen for follow-up 1 week post-surgery.
The patient was seen at Dr. Puccio’s office at 3 months post implant placement at site 28 for implant uncovery. The implant was uncovered following local anesthetic administration. A CO2 dental laser (Solea) was utilized to uncover and expose the cover screw on the implant. A healing abutment was placed and the patient scheduled to initiate restoration of implant tooth No. 28. The patient returned 1 week later, and the healing abutment was removed. A scan body was placed in the implant and intraoral scanning was performed (Primescan, Dentsply Sirona) to fabricate a custom abutment from Atlantis (Dentsply Sirona), and Dr. Puccio would then design and fabricate an e.max crown (Ivoclar) by milling it on the Primemill using the chairside Cerec software once the core file was imported in from Atlantis. The healing abutment was reinserted and the patient dismissed.
Two weeks later the patient returned, and the healing abutment was removed. The custom abutment was inserted, and the screw was hand tightened. A radiograph was taken to verify complete mating of the abutment with the implant’s connector. The screw was tightened to the manufacturer’s recommended torque (25 Ncm) with a torque wrench. A piece of PTFE tape was placed into the screw access channel and the crown was tried in. Fit and occlusion were verified. The crown was cemented to the abutment with GC FujiCEM (GC America). Following setting of the cement the margins were cleaned with an instrument to remove any residual cement. The occlusion was checked and the patient dismissed.
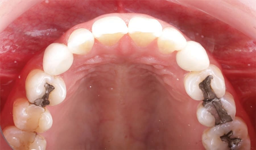
The grafts were allowed to heal for 6 months (Figure 10 through Figure 12). A CBCT was taken to evaluate the ridge width at the grafted sites. Analysis determined adequate ridge width was now present to allow implant placement. The patient presented to Dr. Puccio and Dr. Defalco for placement at sites 6 and 11. Consent forms were reviewed with the patient and signed. Local anesthetic was administered and a full thickness flap elevated to expose the fixation screw on the facial aspect of the ridge that had been placed to secure the block grafts. The screw was removed from both sites. A surgical guide (fabricated in a similar fashion as discussed above) was inserted intraorally, and osteotomies were created after fixation screws were removed at sites 6 and 11. A 3.6-by-11-mm EV Profile implant (Astra Tech) was placed at each site. Cover screws were placed and the flap secured with sutures. The patient returned at 2 weeks post implant placement. Healing appeared uneventful, and the patient was scheduled for a recall prophy.
At 3 months post implant placement the patient returned to initiate restoration of the implants. A CBCT was taken to check bone levels on the integrated implants. Panoramic and occlusal views were analyzed verifying the implants in contact with the surrounding bone and appeared ready to restore (Figure 13 and Figure 14). Local anesthetic was administered, and the implants were uncovered with the Solea CO2 laser and the healing screws exposed (Figure 15). Healing abutments were placed in the implants and the patient scheduled for impressions.
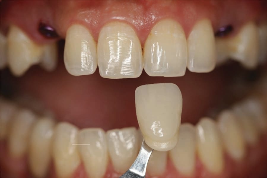
At 2 weeks post implant uncovery the patient returned. The healing abutments were removed and scan bodies placed. Intraoral scanning was performed (Primescan) to fabricate a custom abutment and provisional crowns (Figure 16). The healing abutments were reinserted. Shade A1 was selected to match the adjacent dentition (Figure 17) and the patient dismissed.
The patient returned and the healing abutments were removed. The gold-plated custom abutments from Atlantis were inserted, and the screw was hand tightened (Figure 18 and Figure 19). A radiograph was taken to verify the complete mating of the abutments with the implant’s connector. The screw was tightened to 25 ncm with a torque wrench. A piece of PTFE tape was placed into the screw access channel of the abutment and the provisional crowns were tried in. Fit and occlusion were verified. The provisional crowns were cemented to the abutment with Temp-Bond (Kerr Dental). Following setting of the cement the restoration margins were cleaned with an instrument to remove any residual cement. The occlusion was checked and the patient dismissed. The patient will wear the provisional crowns for a period of time to allow the gingival tissue to adapt to the crown’s contours before fabrication of the final crowns.
At 2.5 months post insertion of the provisional crowns the patient presented, and the gingival marginal position remained stable and had not changed since provisional crown placement. An absence of gingival inflammation was noted, and the tissue appeared healthy. The clinicians were confident that tissue maturation and emergence profile was complete. The patient was dismissed and the lab notified to fabricate the final crowns with similar contours to the provisional crowns they had fabricated.
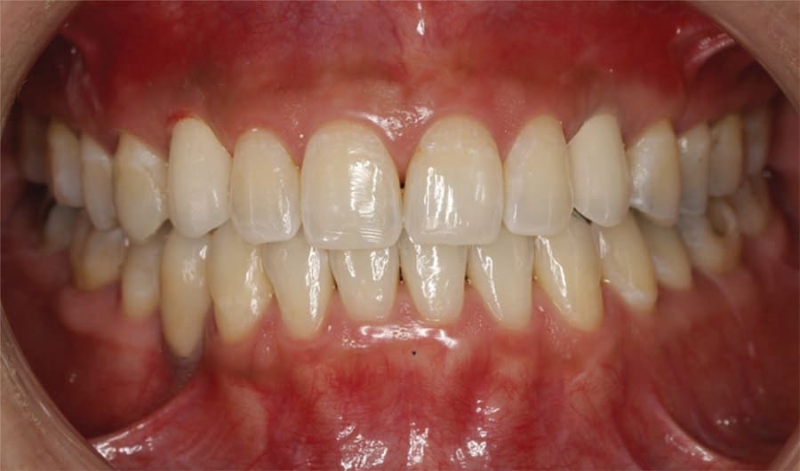
The patient returned and the provisional crowns were removed and cement cleaned from the abutments. The final crowns (lab processed from Jason J. Kim Dental Aesthetics) were tried in and margins checked with an instrument. The occlusion was checked and verified light occlusion was present on occlusion and there were no contacts in excursive movements. The crowns were cemented to the abutments with FujiCEM. Following setting of the cement marginal cement was cleaned with an instrument and a radiograph taken to confirm crown fit to the abutments and no residual cement subgingivally (Figure 20). The patient was given a mirror to evaluate the esthetics of her new smile and indicated she was happy with results, commenting it looked natural (Figure 21 through Figure 24). She was placed on regular 6-month prophy recall.
Conclusion
Treatment of over-retained deciduous teeth can pose complications in the esthetic zone to achieve a natural smile and meet patient expectations. As deciduous teeth are narrower in dimension than their permanent counterparts in the anterior, an orthodontic component is often necessary in the treatment plan to create sufficient mesial-distal space to accommodate a restoration that mimics a permanent tooth. Lack of development of a permanent anterior tooth, as in the case presented, leads to underdevelopment of the ridge facially, complicating implant placement to replace the deciduous tooth. Ridge grafting is required to widen the ridge to permit implant placement so that dehiscence does not result at placement or later under function. Hence, treatment planning these types of cases is a multi-procedural approach to achieve esthetic goals and create a natural smile.
About the Authors
Fred A. Puccio, DDS
Clinical Adjunct Instructor
Department of General
Dentistry and Comprehensive Care
Apa Honors Aesthetics Clinic
New York University College of Dentistry
New York, New York
Certified Advanced Patterson Dental Digital Trainer
Private Practice, Wyckoff and Garfield, New Jersey
Robert J. Defalco, DDS
Diplomate, American Board of
Oral and Maxillofacial Surgery
Diplomate, National Dental
Board of Anesthesiology
Attending surgeon
St. Joseph’s Hospital and Regional Medical Center
Paterson, New Jersey
Private Practice, Paramus, New Jersey
Amy Parsol, DDS
Private Practice,
Wyckoff and Garfield,
New Jersey
Gregori M. Kurtzman, DDS
Private Practice,
Silver Spring, Maryland
References
1. Kambalimath HV, Jain S, Patil RU, Asokan A, Kambalimath D. Permanent Maxillary Canine Agenesis: A Rare Case Report. Int J Clin Pediatr Dent. 2015 Sep-Dec;8(3):242-6. doi: 10.5005/jp-journals-10005-1322. Epub 2015 Sep 11. PMID: 26604546; PMCID: PMC4647049.
2. Li S, Li Y, Yu G. Congenitally missing permanent canines in a sample of Chinese population: a retrospective study. BMC Oral Health. 2024 Nov 20;24(1):1416. doi: 10.1186/s12903-024-05160-2. PMID: 39568013; PMCID: PMC11580490.
3. Aloy-Prosper,A., Penarrocha-Oltra,D., Penarrocha-Diago,M. Penarrocha-Diago,M.(2015). The outcome of intraoral onlay block bone graft on alveolar ridge augmentations: A systemic review: Medocina oral patologia oral y Cirugia Bucal;20(2):251-e258. Doi: 10.4317/medoral.20194
4. Kloss, F., Offermans, V., Kloss-Brandstatter,a.(2018). Comparison of allogeneic and autogenous bone graft for augmentation of alveolar ridge defects: Clinical oral implants Research, 29(11)1163-1175 10.1111/clr.13380
5. Gaddale,R., Chowdhary, R., Mishra,S.K., (2023). Efficacy of allogeneic bone graft for alveolar ridge augmentation for implant placement: A systemic review and meta-analysis: Journal of ostial integration, 15(2):139-154. Doi 10.23805/JO.2023.15.01.14
6. Acar YB, Abuhan E, Boyacıyan R, Özdemir F. Influence of facial type on attractiveness of vertical canine position from the perspective of orthodontists and lay people. Angle Orthod. 2022 Mar 1;92(2):233-239. doi: 10.2319/020121-95.1. PMID: 34652426; PMCID: PMC8887402.