For Steven Kale, DDS, dentistry was not always the obvious career path. As a teenager exploring different areas of medicine, he had not yet settled on a specialty when a dentist offered him the opportunity to shadow in a private practice. The experience proved formative. “I really enjoyed the autonomy of dentistry,” Dr. Kale recalls. “You’re applying science that you learned in theory and translating it directly into patient care with your hands.” That exposure ultimately led him to pursue dental school and, later, a focused interest in endodontics.
Today, Dr. Kale practices in New York City, where he provides endodontic care while actively engaging with colleagues and younger clinicians through continuing education and social media. A graduate of New York University College of Dentistry and an associate member of the American Association of Endodontists, Dr. Kale has developed a reputation for combining clinical efficiency with patient-centered care. Outside the operatory, however, many people are surprised to learn that he once spent years performing as a break dancer, mastering flips and acrobatic tricks before eventually stepping away to protect the hands that now define his professional life.
Early in his career Dr. Kale discovered how dramatically dental pain can affect a patient’s daily life. “When people are in pain, their quality of life changes completely,” he says. “For me, endodontics became about helping patients get back to their normal lives as quickly as possible.” That perspective continues to guide his approach to treatment. Dr. Kale believes that technical excellence must be paired with empathy and communication. “Patients don’t walk into a dental office excited about a root canal,” he says. “A little empathy and conversation goes a long way toward helping them feel comfortable and confident about the treatment.”
Mentorship has also played an important role in shaping Dr. Kale’s clinical philosophy. “Seeing how someone interacts with patients, works with assistants, and integrates modern technology can teach you more in a few hours than a lecture sometimes can,” he says. Dr. Kale is active in continuing education and professional meetings, where he exchanges ideas with colleagues and stays informed about evolving technologies.
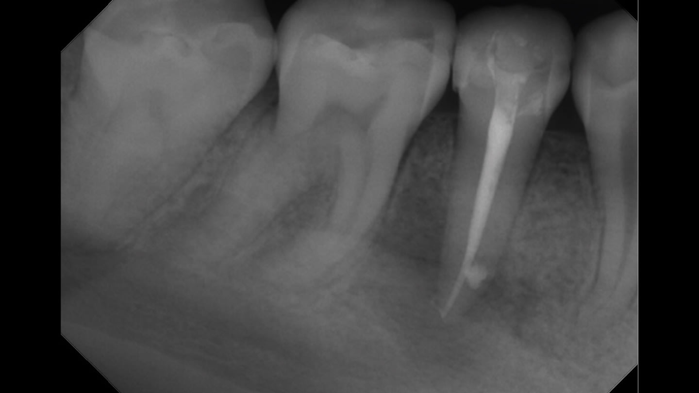
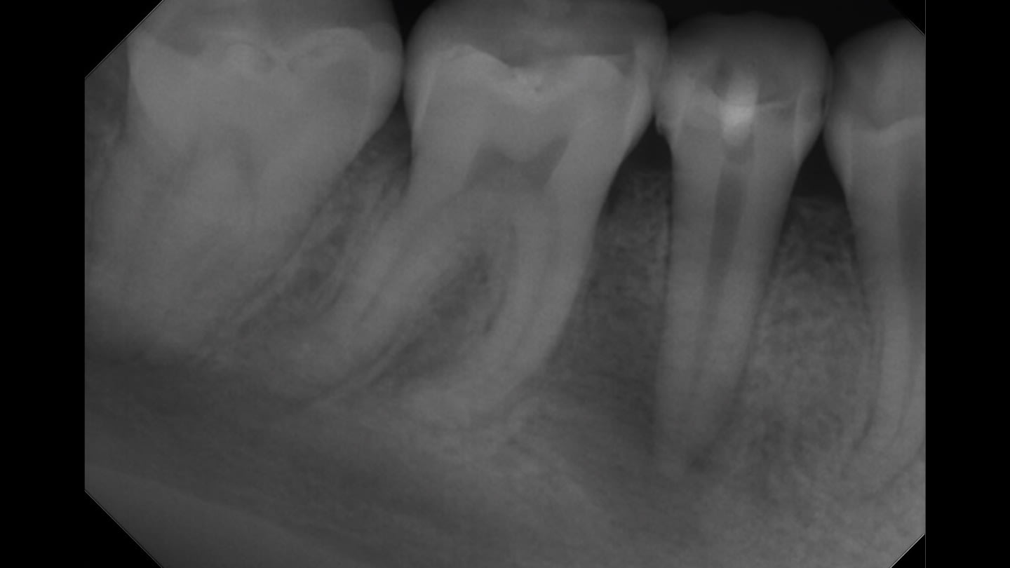
One technology that has become a regular part of Dr. Kale’s workflow is EdgeUtopia™ Sealer from EdgeEndo®. Designed for use with both warm and cold obturation techniques, the bioceramic sealer features a pH of 12.5 and hydrophilic properties intended to support antibacterial activity and effective sealing within the root canal system.
Dr. Kale first incorporated the product into his practice after considering how procedural efficiency could be improved compared with traditional powder-and-liquid sealers. “In dental school we were taught to mix powder and liquid sealers by hand,” he explains. “That process works, but it takes time and adds another step to the procedure.” By contrast, EdgeUtopia Sealer is delivered in a syringe-based system with disposable tips that allow clinicians to dispense the material directly into the canal.
“For me, the biggest advantage is how easy it is to deliver,” Dr. Kale says. “The syringe tip is small enough that you can place it directly into the canal and distribute the sealer throughout the system. It simplifies the entire obturation process.” He also appreciates the material’s handling characteristics, noting that the flow properties allow it to adapt well without distorting the gutta-percha cone during placement. “Some sealers can be a little aggressive and push the cone out of position,” he explains. “This one is very user-friendly and maintains the integrity of the obturation.”
Dr. Kale primarily uses a single-cone obturation technique in single-visit cases, placing the sealer directly into the canal before seating the cone. Because the material forms a thin film and provides adequate working time, he finds that adjustments can be made when necessary without difficulty. “If you need to reposition or remove the cone before the sealer fully sets, it’s manageable,” he says. “That flexibility makes the procedure more predictable.”
Like many clinicians, Dr. Kale views the obturation stage as a critical determinant of long-term treatment success. While irrigation and shaping remove infected tissue and reduce bacterial load, an effective seal is necessary to prevent reinfection of the canal system. “You can perform a beautiful root canal, but if the seal is compromised, bacteria can eventually find their way back in,” he says. The high pH and bioceramic composition of EdgeUtopia Sealer contribute to antimicrobial activity and favorable healing conditions, which Dr. Kale believes can help improve clinical outcomes.
He also emphasizes the importance of maintaining a proper seal during the period between endodontic therapy and placement of the final restoration. In some cases, patients may delay receiving a crown or other definitive restoration, creating the potential for microleakage if the canal system is not adequately sealed. “The material’s low solubility and biocompatibility help provide reassurance that the seal will remain stable during that time,” Dr. Kale says.
The sealer’s hydrophilic properties represent another practical advantage. Because complete dryness within the canal system can be difficult to achieve, particularly in complex cases, materials that tolerate residual moisture can support more predictable outcomes. Dr. Kale still emphasizes careful isolation and proper preparation before treatment, including the use of core build-ups and rubber dam isolation when needed to create a clean working environment. “If you follow the correct protocol and minimize contamination, the hydrophilic nature of the sealer works in your favor,” he says.
From a workflow perspective, Dr. Kale believes that the syringe-based delivery system significantly streamlines the obturation phase. Eliminating the need for hand mixing reduces chair time and allows assistants to focus on other tasks during the procedure. “It’s efficient and predictable,” he says. “You attach the disposable tip, dispense the sealer into the canal, and proceed with obturation. There’s less setup, less waste, and fewer materials to manage.”
Beyond the product itself, Dr. Kale views EdgeEndo as a valuable partner in his practice. Founded by an endodontist seeking to reduce the cost of clinical supplies, the company focuses on providing instruments and materials designed to combine performance with affordability. Dr. Kale notes that the company maintains strong communication with clinicians and actively seeks feedback from users. “They listen to what doctors have to say,” he explains. “That kind of collaboration helps ensure that products continue to improve and meet the needs of practitioners.”
For clinicians considering newer materials or technologies, Dr. Kale encourages an open-minded approach. “Sometimes people hesitate because they think there’s going to be a complicated learning curve,” he says. “But in this case the process is very straightforward.”
Dr. Kale believes that embracing evolving technology is essential for modern endodontic practice. Just as rotary instrumentation and advanced imaging have transformed treatment over the past decades, materials designed for efficiency and reliability can help clinicians deliver better care while maintaining an efficient workflow. “Dentistry continues to evolve,” he says. “When we combine good technique with modern materials and the right mindset, we can perform endodontic treatment in a way that is predictable, efficient, and ultimately beneficial for our patients.”
Key Points
- Versatile obturation performance:
Superior flow allows reliable use with both warm and cold obturation techniques, giving clinicians flexibility across different endodontic protocols. - High alkalinity for antibacterial support:
With a pH of 12.5, the bioceramic formulation helps inhibit bacterial growth while supporting the healing environment within the canal. - Moisture-friendly sealing:
Its hydrophilic properties allow the sealer to perform effectively in moist canal conditions, helping create a dependable seal even when complete dryness is difficult to achieve. - Practical, cost-effective system:
Supplied in a 2-g syringe with 20 disposable tips, the radiopaque bioceramic formulation (containing tricalcium silicate, dicalcium silicate, and tricalcium aluminate) offers a cost-effective option for clinicians seeking reliable endodontic sealing.