Ask any seasoned dentist or hygienist what they wish they could do better, and you’ll hear a common refrain: “I wish I could see more, sooner—and show my patients what I see.”
For generations, our profession has relied on what our eyes can detect and our explorers can feel—a shadow on a radiograph, a softened surface under pressure, a complaint of sensitivity. Yet by the time those clues appear, much of the damage has already been done. Despite all our modern tools—digital radiographs, intraoral cameras, fluoride varnishes—dental caries and periodontal disease remain two of the most prevalent chronic diseases on Earth. Why? Because traditional methods detect damage, not disease in progress.
Now, imagine being able to visualize the earliest microscopic changes—the first whisper of demineralization, or the metabolically active biofilm that silently triggers inflammation. That’s the promise of biofluorescence technology. It doesn’t just improve how we see; it redefines what we can do about it.
It’s like upgrading from a black-and-white x-ray to a living, color map of the mouth. And this color speaks volumes to patients. When they can see potential problems before they become painful or expensive, they finally understand—and value—our recommendations.
Seeing is believing. Believing builds trust. And trust drives treatment acceptance.
How Light Reveals What We’ve Been Missing
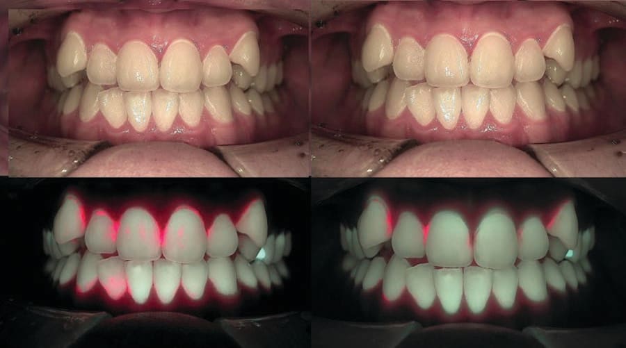
Here’s the elegant science behind the magic. When a specific blue wavelength (405 nm) shines on healthy enamel, it emits a natural green fluorescence—the glow of structurally sound enamel. As soon as enamel begins to lose minerals, even before a white spot or radiographic change appears, its structure scatters light differently. The fluorescence dims, creating darker areas on the biofluorescence image. Think of it like thermal imaging for enamel—the “cold” zones reveal what’s not healthy.
Then there’s the red glow—the signature of biofilm. Pathogenic bacteria produce porphyrins, which fluoresce red or orange under the same blue light. In one instant, we see both tooth health (green) and bacterial activity (red). It’s biology and behavior visualized together.
Turning Color Into Data
Biofluorescence isn’t just another pretty picture. It’s measurable science. Each pixel of fluorescence is analyzed, producing objective metrics:
- ΔF (%) – percentage of fluorescence (and therefore mineral) loss.
- ΔQ – cumulative mineral loss across a lesion.
- Lesion area (mm2) – size and spread of demineralization.
What was once a subjective “it looks a bit chalky” becomes quantitative diagnosis. Even better, those numbers can be tracked over time, letting us prove whether an area is improving, stable, or worsening.
The Power of Early Discovery
Early detection changes everything. It protects tooth structure, saves patients money, and eliminates those uneasy conversations about why we “watched” something turn into a filling. Studies by Amaechi, Stookey, and others1-12 have shown that biofluorescence can detect demineralization well before it’s radiographically visible—and even quantify remineralization after therapy.
Imagine saying to a patient: “See this dark area from your last visit? It’s 30% lighter now—your enamel is healing.” That moment of proof is powerful. It turns patients into partners and prevention into a shared victory.
Biofilm: From Mystery to Measurable
Every hygienist knows that not all plaque is equal. Some are quiet tenants; others are biochemical vandals. Biofluorescence lets us see the difference. Those red fluorescing regions mark biofilm that’s metabolically active—producing porphyrins linked to inflammation and decay.
Instead of telling patients, “You missed this area,” we can show them: “These red zones are where your bacteria are most active. Let’s check again in a few weeks to see your progress.” This transforms hygiene visits from lectures into collaborations, where patients feel in control of their results.
From Prevention to Proof
Because biofluorescence captures quantifiable data, it allows us to monitor the same sites over time. This makes it invaluable for:
- Evaluating remineralization programs.
- Tracking saliva substitute efficacy.
- Monitoring orthodontic white-spot lesions.
- Measuring periodontal maintenance success.
- When patients can see their improvements, compliance skyrockets. The conversation changes from “You need to brush better” to “Look how much you’ve improved.”
Why QLF Changes the Energy in the Operatory
When you first use biofluorescence, your reaction will likely be: “Why didn’t I have this years ago?” Suddenly, every hygiene visit becomes a discovery session. The hygienist captures the scan, and the patient instantly sees their mouth come to life in color. Curiosity turns into motivation.
Then the dentist joins with a calm confidence: “These areas show early changes, but you’ve caught them just in time. Let’s strengthen the enamel before it becomes a cavity.” That’s not just clinical excellence, it’s trust in action.
The Business of Better Detection
Technology should benefit both your patients and your practice. Biofluorescence does both—beautifully.
Clinical Wins:
- Earlier, minimally invasive care.
- Objective tracking of progress.
- Greater diagnostic confidence.
Practice Wins:
- Adds tangible value to hygiene visits.
- Differentiates your office as innovative and prevention-focused.
- Builds trust, case acceptance, and referrals.
- Supports preventive imaging fees ($25–$35) patients gladly pay.
Because this isn’t selling — it’s showing. Patients see proof, not pressure.
Filling the Gap Between What We See and What We Know
Explorers, radiographs, and disclosing agents are all reactive tools—they confirm what’s already happened. Biofluorescence fills the gap between inspection and intervention, the space where true prevention thrives. By using light, we illuminate what’s invisible—empowering clinicians to treat proactively and patients to act responsibly.
Built on Solid Science
The foundation of biofluorescence is decades of rigorous research, from van der Veen and ten Bosch’s early fluorescence studies to the validation work of Pretty, Amaechi, and Stookey.1-12 It’s the meeting point of biofilm biology, mineral science, and behavioral psychology—showing us not only how disease starts, but how motivation begins.
Bringing biofluorescence to Life in Your Practice
- Train your team. Everyone should understand what the colors mean.
- Make it routine. Incorporate biofluorescence in every hygiene exam for one week — it’ll quickly become indispensable.
- Show, don’t tell. Present side-by-side normal and fluores cence images.
- Track and celebrate. Record improvements and share progress at each visit.
We utilize the QBLISS system from AIOBIO. Before long, your patients will be asking for a QBLISS examination by name—not because it’s trendy, but because it makes their health visible.
Seeing Is Believing
Dentistry has always been visual, but until now the most important stages of disease were invisible. Biofluorescence restores that visibility, letting us practice with confidence, communicate with clarity, and motivate with credibility. It’s not just light science, it’s insight science. When we finally see what’s been hidden all along, we can treat it, prevent it, and prove it—in data, in color, and in care. Your patients won’t just understand what you do; they’ll truly appreciate it.
ABOUT THE AUTHOR
Michael A. Miyasaki, DDS, is a 1987 graduate of the University of the Southern California School of Dentistry, and has always maintained a practice focusing on comprehensive, minimally invasive aesthetic restorative dentistry and function. With over 3 decades of clinical and teaching experience, Dr. Miyasaki continues to educate his peers and patients for the optimal patient experience.
References
1. Featherstone JDB. Dental caries: a dynamic disease process. Aust Dent J. 2008;53(3):286–291.
2. Marsh PD. Dental plaque as a biofilm and a microbial community – implications for health and disease. BMC Oral Health. 2006;6(Suppl 1):S14.
3. Selwitz RH, Ismail AI, Pitts NB. Dental caries. Lancet. 2007;369(9555):51–59.
4. van der Veen MH, ten Bosch JJ. Fluorescence as a diagnostic tool in dentistry. Int Dent J. 1995;45(6):441–446.
5. Pretty IA. Caries detection and diagnosis: novel technologies. J Dent. 2006;34(10):727–739.
6. Stookey GK. Quantitative Light-Induced Fluorescence (QLF): a technology for early detection and monitoring of dental caries. J Dent. 2004;32(Suppl 1):S3–S8.
7. Amaechi BT, Higham SM. Monitoring remineralization using QLF: an in vitro study. Caries Res. 2001;35:228–232.
8. Buchalla W, Lennon AM. Comparative fluorescence spectroscopy of porphyrins used to simulate bacterial fluorescence in dental plaque. Caries Res. 2011;45:473–480.
9. Donos N. The periodontal pocket. Periodontol 2000. 2018;76(1):7–15.
10. Petersen PE, Ogawa H. The global burden of periodontal disease: towards integration with chronic disease prevention and control. Periodontol 2000. 2012;60(1):15–39.
11. Amaechi BT, et al. Use of quantitative light-induced fluorescence (QLF) for monitoring early caries changes. Caries Res. 2003;37(4):256–262.
12. Lennon AM, Buchalla W, Stookey GK. Quantitative light-induced fluorescence for monitoring de- and remineralization. J Dent Res. 2006;85(5):455–459.